calender_icon.png 6 December, 2025 | 7:31 AM

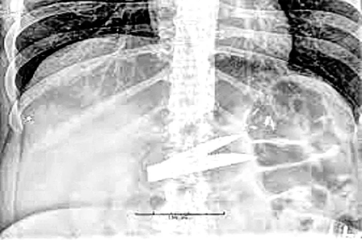
Surgical blade found inside patient’s body

06-12-2025 12:00:00 AM

Palnadu: A shocking incident of alleged medical negligence occurred at the Narasaraopet Government Hospital in Palnadu district. A 22-year-old patient, Rama Devi, was discovered to have a surgical blade left inside her body following an operation performed by Dr. Narayana Swamy and his team. Despite Rama Devi reporting severe post-operative pain, doctors initially dismissed her complaints as typical recovery symptoms. However, a scan conducted later confirmed the presence of the blade lodged near her thigh. The patient's family was horrified by the discovery and immediately staged a protest, demanding accountability and justice for the alarming lapse in care.